There is a voluntary recall of certain batches of xxxxx. For more details, please refer to [link]
We specialise in the diagnosis and treatment of a wide range of hand conditions, including hand and upper extremity trauma, hand and wrist fractures, as well as infections. Our well-equipped enables our doctors to deliver quality care to our patients. Featuring a dedicated Minor Surgical Procedure Room, our centre boasts comprehensive surgical capabilities, along with specialised filters suring air clean and low infection rates. Additionally, our 'in-house fluoroscopy' (portable X-ray) in allows for ultrasound and dynamic assessments of bone and joint problems. In essence, our centre is design to address the majority of conditions affecting the hand and upper limb.
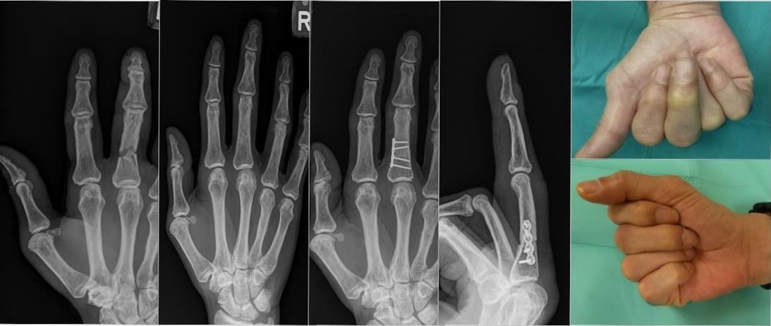
Post-traumatic Deformity
Post-traumatic Deformity from inadequate treatment of acute trauma represents another focus area of surgical expertise. Patients presenting with finger deviation or scissoring upon making a fist often exhibit malunion from a previous fracture. Following appropriate imaging assessments, our approach involve performing corrective osteotomies to improve the alignment and function of the fingers.

Figure 1: The above depicts the result of corrective surgery in a mal-united fracture of the phalanx of the middle finger.
Congenital Hand Problems
Congenital Hand Problems are a group of conditions wherein the children’s hands exhibit differences in form in terms of shape, number or length of the digits. Examples include syndactyly and thumb duplication. A thorough examination is typically conducted to ensure that other organ systems are not compromised, as observed in a small proportion of these cases. Diagnostic measures, including X-rays of the hands, are used. Corrective procedures are planned following detailed consultation with the child’s parents to understand their expectations.

Corrective surgery for thumb duplication.
Hand & Upper Extremity Trauma
Hand & Upper Extremity Trauma includes strains, sprains, fractures and dislocations of the hand and wrist. Effective treatment involves a thorough approach, beginning with the diagnosis of the injuries by clinical examination, confirmation with imaging studies, and subsequent treatment using splints or, when necessary, surgical procedures.

Open reduction and internal fixation of multiple fractures.

Pulp abscess (left) and post-operative infection (right).

Typical bent posture observed in a trigger finger.
Brachial Plexus Injuries
We have a sub-specialised team of doctors dedicated to the treatment and management of brachial plexus injuries in both paediatric and adult patients, with the support of our occupational therapists. We perform exploration, nerve repair and grafting, as well as nerve and tendon transfers for acute and chronic brachial plexus injuries. Additionally, we manage chronic brachial plexus injuries with microsurgical free-functioning and pedicle muscle transfers.
For brachial plexus birth palsies, we receive numerous international referrals and offer surgical management services, including tendon releases, tendon transfers and derotation humeral osteotomies.

Infant with Erb palsy with adducted and internally rotated left upper limb that underwent excision of scar segment and repair with sural nerve graft.
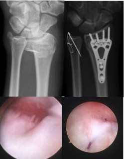
Sports and Traumatic Injuries of the Wrist
Our expertise extends to the treatment of a substantial number of traumatic and sports-related injuries affecting the wrist, including overuse syndromes. Common bone injuries involve fractures of the distal radius and scaphoid, while ligament injuries of the wrist include tears of the scapholunate ligaments and triangular fibrocartilage complex. Although dislocations involving the main articulations of the wrist joint and intercarpal dislocations are less common, our team is well-equipped to manage such issues.
Treatment modalities vary based on the severity of the injury or condition, ranging from splinting and occupational therapy to casting or, when necessary, open and minimally invasive surgical interventions. Wrist arthroscopy is used as both a diagnostic tool and for therapeutic management in select ligament injuries of the wrist. For cases of chronic ligament instability of the wrist typically characterised by pain, functional limitations and recurrent dislocations, ligament reconstruction surgery reliably alleviates pain and restores function.

Open reduction and internal fixation of a distal radius and ulnar styloid fracture (top) Arthroscopic repair of TFCC injury (bottom).

Microsurgical replantation of an amputated fingertip.
Our commitment to excellence is evident in our 24-hour microsurgical service, positioning us as a regional referral centre for digital, hand and major limb replantations, with success rates that align with international standards. We also specialise in reconstructive surgery for the upper and lower limbs for soft tissue and bony defects resulting from trauma or tumour resection. The procedures include free tissue transfers of skin, muscle and bone. Our workhorse flaps for lower limb reconstruction are the free gracilis, latissimus dorsi, lateral arm and anterolateral thigh flaps. We have recently successfully incorporated free perforator-based flaps such as the medial sural artery perforator, lateral thoracic artery perforator and thoracodorsal artery perforator flaps.
Notably, our achievements extend to innovative procedures, including the transplantation of a free medial femoral condyle vascularised graft to revascularise an avascular scaphoid with a fracture non-union. Additionally, have performed nuermous successful free vascularised fibula grafts to fill large bone defects in the upper and lower limbs. Continuously pushing the boundaries of microsurgery, our microsurgical team have introduced supermicrosurgery into our reconstructive armamentarium.
Free vascularized fibula graft filling a large tibial defect
Joint Replacement
Wrist and hand joint replacement (arthroplasty) is an evolving area involving artificial implants that preserve motion when treating diseased or injured joints. Traditionally, joint fusion (arthrodesis) was the main surgical approach for most hand and wrist joint disorders. Although effective in correcting deformities and alleviating pain, joint fusion is able comes with the expense of loss of motion. With the introduction of new joint implants for the wrist and joint, corrective surgery with the preservation of motion of the joint has become possible, ultimately improving the patient’s quality of life.
Replacement of a post traumatic arthritic proximal interphalangeal joint
We specialise in custom-fabricated silicone upper limb prostheses. A prosthesis serves as an artificial replacement of a missing body part, and individuals with amputated hands can benefit from the fitting of prostheses. By restoring lost length and span, a prosthesis enhances hand function, allowing opposition with (i.e., work against) the remaining parts. Moreover, prostheses augment the functional outcomes of surgical reconstructions.
The range of prostheses we provide includes:

Every prosthesis fitted at our Prosthetic Hand Clinic is custom-moulded from medical-grade silicone rubber to ensure a biocompatible, comfortable and secure fit for the wearer. By using a layering technique in the moulding process, we can achieve colour-matching to produce prostheses with a life-like appearance that closely matchthe patient’s skin tone.

Following the amputation of the right middle and ring fingertips, the patient underwent fitting with a thimble/cap-type prosthesis. The edges of the prostheses were crafted to be thin and translucent to blend in with the surrounding skin.

A patient fitted with a custom-moulded hand prosthesis on the left amputated hand. The edge of the prosthesis can be concealed by wearing a watch or wrist band.

A patient fitted with custom-moulded finger prosthesis on the left amputated middle and ring fingers. The edge of the prosthesis is concealed by wearing a ring.

The components of a lightweight transradial (below-elbow) prosthesis.
All prospective patients are required to attend a pre-fitting clinic to assess their suitability for prosthetic fitting, taking into consideration the physical conditions of the stump as well as the patient's expectations.
Candidates for finger prostheses should have:
Well-healed stump(s) free from edema
Residual stump length(s) of more than 1.5 cm from the web spaces
Well-aligned stump(s) which is not overly bulbous or tapered distally
What to Expect
Partial hand amputations are more complex and require evaluation on a case-by-case basis due to the variability of the residual stumps. Generally, the residual hand/stump must be well-healed, pain-free and not overly bulky. Patients may be advised to wait for the stump swelling to subside before proceeding with prosthesis fitting.
Overseas patients are encouraged to provide digital close-up images of their hand (both right and left hands taken together) to assess prosthesis fitting feasibility before travelling to Singapore. Alternatively, hard copies may be mailed to the contact address below. If surgical revision is required to adjust the stump for prosthesis fitting, it is preferable to undergo the procedure in the patient’s home country where clinical expertise is available.
Prospective patients should maintain realistic expectations regarding the purpose and outcome of prosthesis fitting. The primary aim of fitting custom-moulded silicone prostheses is to restore loss of length and appearance of the hand, rendering the defect less noticeable, rather than restoring the injured hand to its original level of function.
Time Needed to Complete a Prosthetic
First-time patients are required to attend the prosthetic clinic in person to achieve a good colour match and optimum prosthetic fit. Subsequent replacements may be mail-ordered.
Fitting finger prostheses takes five working days, so a week-long stay is recommended. For partial and full hand cases, a longer stay of 8-10 days, depending on the complexity, is required.

Chief Prosthetist
Mr Michael EL Leow
Mr Michael Leow oversees the Department's Prosthethic Services. He obtained his Master of Science degree in 1995 and completed further specialised training at the renowned Northwestern University Prosthetic-Orthotic Center in Chicago in 1996. With over 30 years of experience, he specilises in producing and fitting custom-moulded silicone prostheses for patients with hand and finger amputations. Mr Leow has served as an invited reviewer for the journal Prosthetics Orthotics International. His research focuses on the fabrication and fitting of silicone prostheses. He has published numerous papers on the topic in international scientific journals. In recognition of his contributions to prosthetic research, he was awarded the NUHS Model Allied Health Professional Award (Research Contribution) in 2014.
Contact Details:
For appointment and enquiry, please contact:
Hand & Reconstructive Microsurgery Centre
NUH Main Building, Zone F, Level 2, F02-01
Tel: 6772 5599
Special Feature on Straits Times
Our services include:

Our team of occupational therapists specialises in hand therapy, focusing on improving patients’ function and performance in their daily activities of work, self-care and leisure. As part of the multi-disciplinary team, these healthcare professionals play a crucial role in preventing, reducing and overcoming the effects of various upper limb conditions, including fractures, sprains and strains, tendon and nerve injuries, as well as repetitive strain injuries.